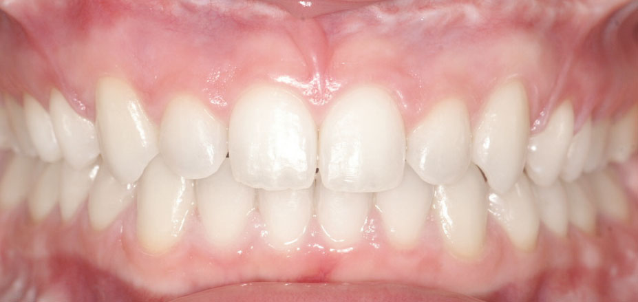
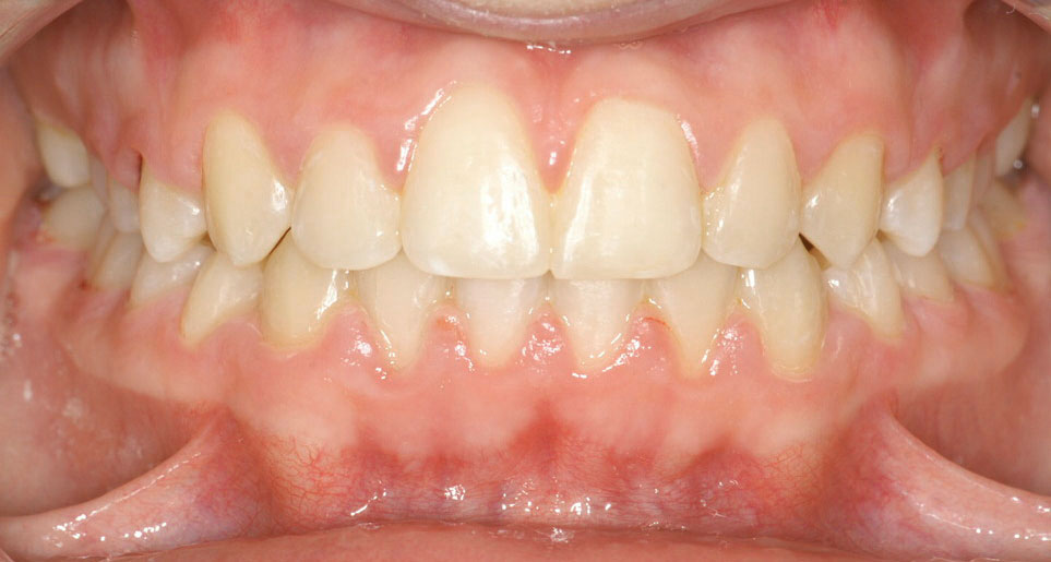
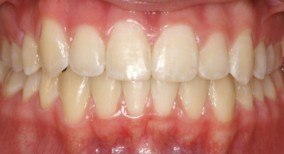
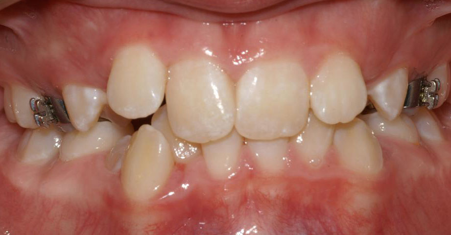
Avant / Après

Malocclusion classe II, béance antérieure

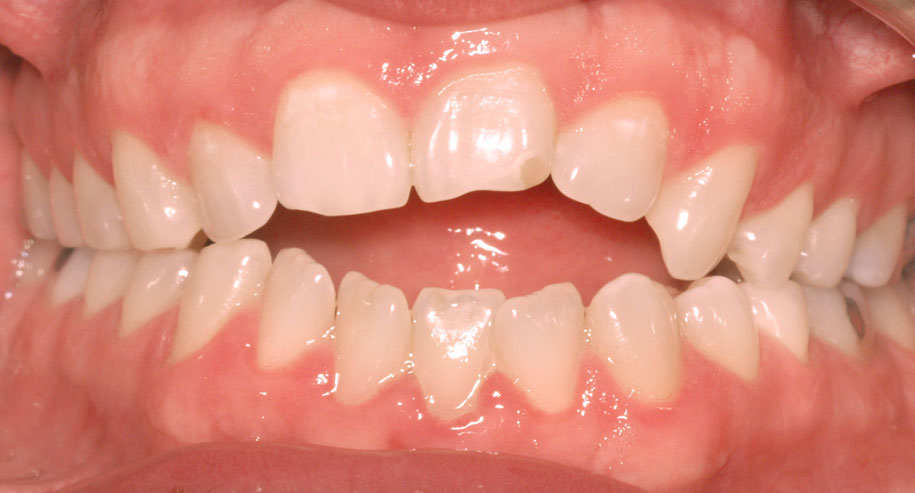
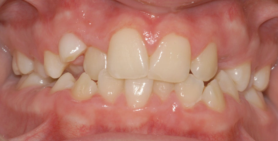
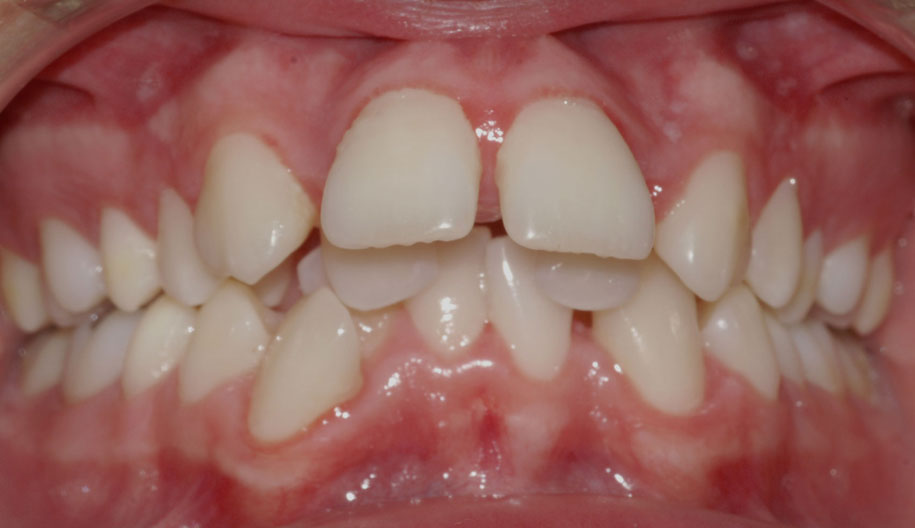
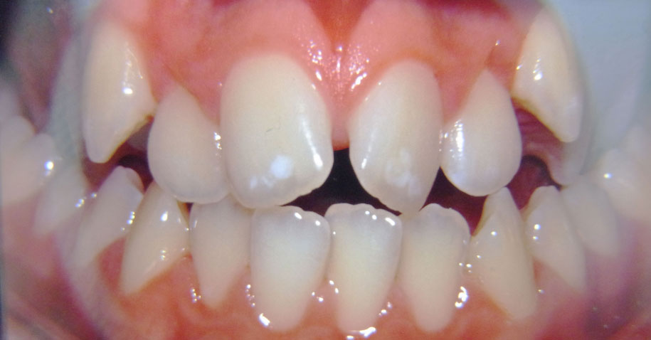
Malocclusion classe II, chevauchement

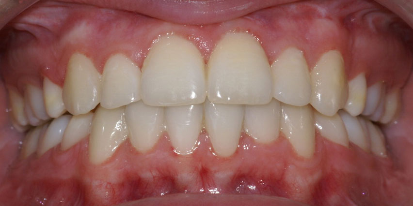
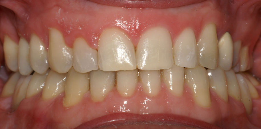
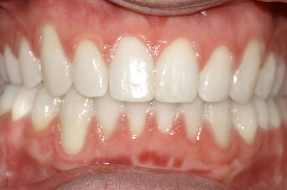
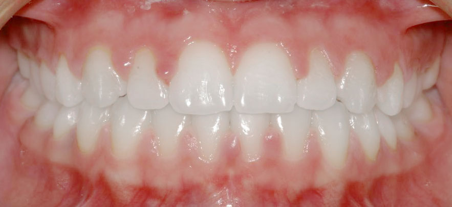
Malocclusion classe II, « deep bite »

Malocclusion classe II, canines incluses

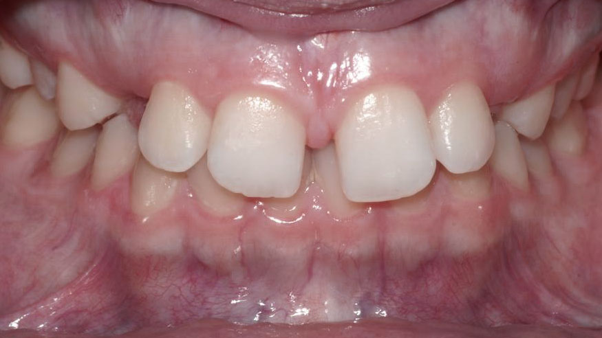
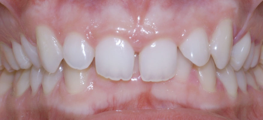
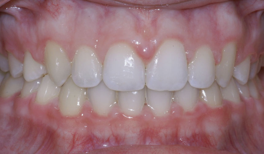
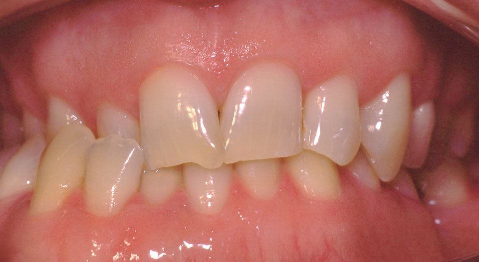
Malocclusion classe II, « deep bite »

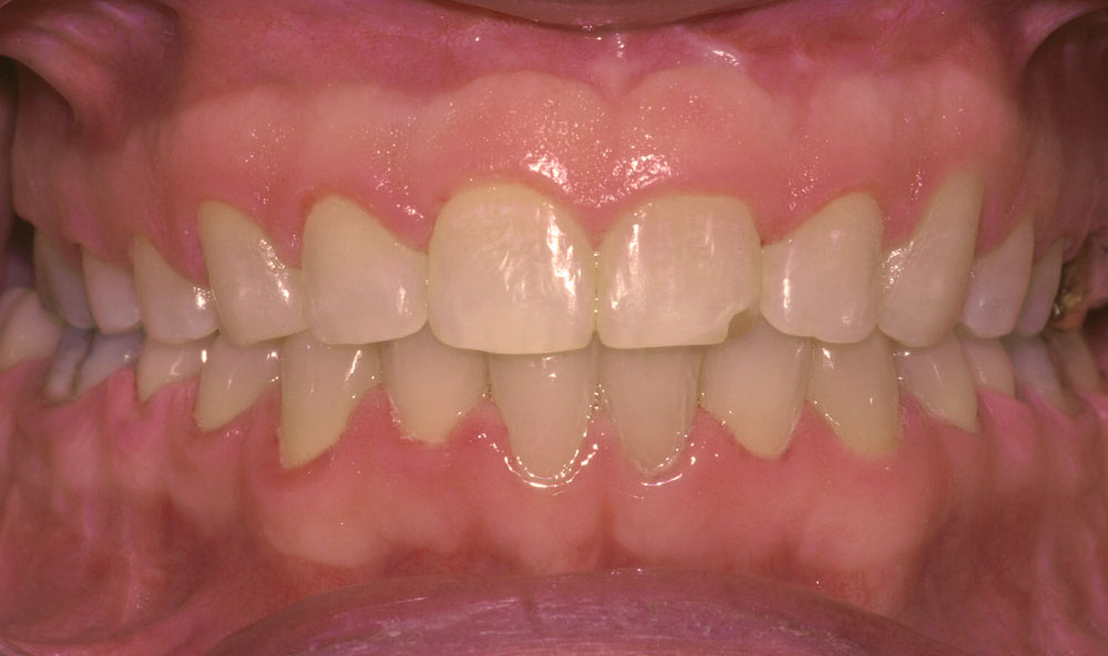
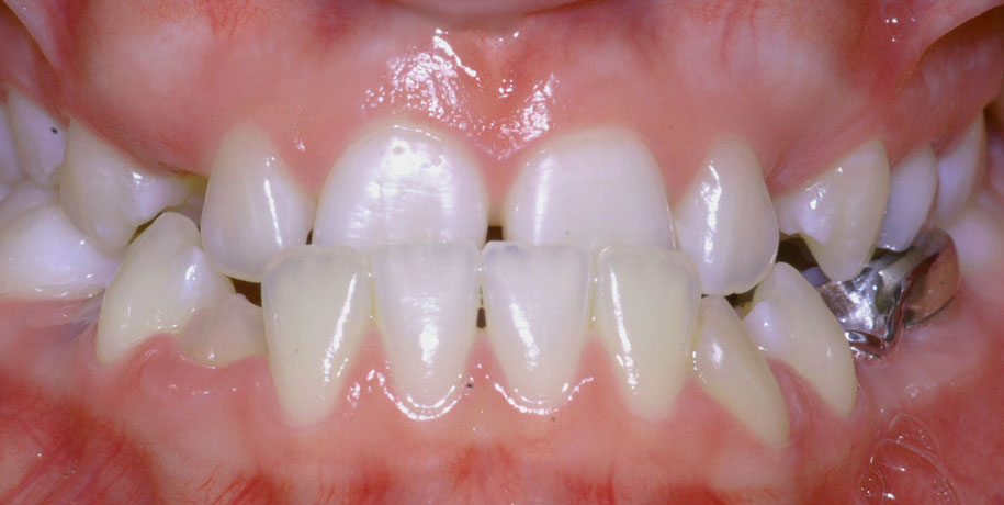
Malocclusion classe II division I, constriction palatine

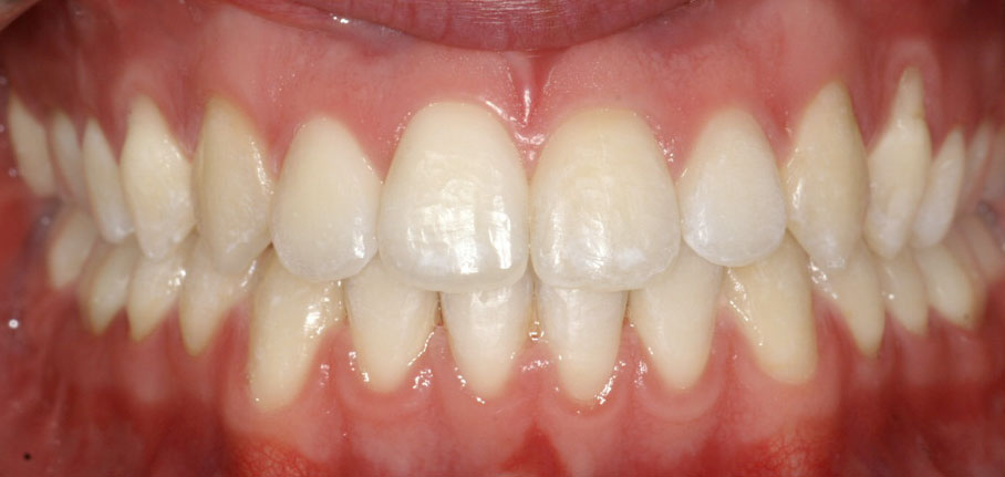
Malocclusion classe II division II, ortho-chirurgie

Malocclusion classe III, constriction palatine

Malocclusion classe III

Malocclusion classe III, ortho-chirurgie